なるべく削らない治療
このページの目次
健康な歯をできるだけ削らない治療を心がけております

西宮北口歯医者スター歯科では、患者さまにご自身の歯でお食事や会話をいつまでも楽しんでいただくことを目指し、日々診療を行っております。歯は一度手を加えると、元には戻らないため、残っている健康な歯質の量が歯の寿命ということになります。そのため当院では、歯をより良い状態で維持していただけるよう、なるべく削らない治療を心がけております。こちらのページでは、健康な歯質を少しでも多く残すための対策や取り組みについてご紹介いたします。
拡大視野での精密な処置

当院では、治療の際に歯科拡大鏡やマイクロスコープを使用します。視野を拡大することによって、歯の状態を目でしっかりと確認することができるため、精密な処置によって無駄な切削を抑えたり、虫歯の取りこぼしを防ぐことができます。
う蝕検知液による虫歯の染め出し

虫歯治療の際は、う蝕検知液を使用して虫歯菌に感染した歯質を染め出します。健康な歯質と虫歯部分の境目が視認しやすくなるため、より精密な切削が可能となります。
エキスカベーターの使用

虫歯に感染した部分は軟らかくなるため、強力なドリルで全ての処置を行うと、健康な歯質まで削ってしまう可能性があります。そのため当院では、細部や最終的な処置の際にはエキスカベーターという手動の機器を使用し、丁寧な切削を心がけております。
極細のドリルバーを使用

当院では、虫歯の大きさや部位によって、使用するドリルバーのサイズを調整します。細部の虫歯を取り除く際は極細のドリルバーを使用することによって、無駄な切削を抑え、少しでも多く健康な歯質を残すよう努めております。
ダイレクトボンディング(CR充填)

虫歯治療で歯を削った部分は、できるだけダイレクトボンディング(CR充填)による修復を心がけております。ダイレクトボンディングは、歯を削った部分に歯科用の樹脂を流し込んで、その場で形態を整える修復法です。歯の切削範囲を最小限に抑えられるだけでなく、型取りなどの工程がないため、即日で治療が完了します。
予防歯科の提案

歯をより多く維持するために一番重要な対策は「予防」です。お口や歯を健康な状態で維持することができれば、歯を削る治療も必要ありません。当院では、患者さまに予防の重要性をお伝えし、定期検診やクリーニングなどの習慣化に努めております。
神経を失い黒ずんだ前歯を削らずに耐久性と審美性を回復した症例
こちらの患者さんは、右上の前歯の色が黒くなってきたことを主訴に来院されました。
写真の通り、この歯だけが変色しており、他院では「削って被せ物にする必要があるかもしれない」と説明を受けていたそうです。
当院ではまず原因を調べるために各種検査を行いました。その結果、右上の前歯は冷たい刺激に反応せず、神経が死んでしまっている(失活歯)と判断しました。
原因として考えられたのは、過去に行われた矯正治療です。歯の根が骨の外に出てしまっており、本来は骨の中に位置すべき歯根が露出していたため、神経がダメージを受けてしまったと考えられます。通常、歯は骨のアーチの中に適切にコントロールして並べることが非常に重要で、それを外れてしまうと神経が死んでしまうリスクが高まります。
なお、当院で矯正治療を行う場合には、必ずCT撮影で骨の位置を確認し、特にマウスピース矯正ではシミュレーションデータとCT画像を重ね合わせることで、こうしたリスクを最小限に抑えています。
▶︎詳しくは[マウスピース矯正のご案内>>]
精密根管治療の実施
神経がすでに死んでしまっていたため、精密根管治療を行いました。
通常の根管治療では再感染のリスクが残りやすいですが、当院ではより無菌的で確実な処置ができるよう、ラバーダム防湿を行い、細菌が入り込まない状態を確保して治療を進めています。
さらに、根管の充填にはバイオセラミックシーラーという先進の材料を使用しました。このシーラーは封鎖性が非常に高く、再感染を起こしにくい特長があり、長期的な予後に優れています。患者さんは20代と若く、今後長くご自身の歯を守っていく必要があります。
そのためにも、無菌的な環境での治療と高精度な材料の使用は非常に重要です。当院ではこうした点にこだわることで、再治療を防ぎ、より確実な結果を目指しています。
審美的な回復 ― インターナルブリーチの実施
根管治療が終了した後、患者さんの主訴であった黒ずんでしまった前歯の色に対して治療を行いました。
通常、このように神経が死んで変色した歯に対しては、大きく削ってセラミックの被せ物を入れる方法が一般的です。
しかし当院では、患者さんの歯をできるだけ守るため、削らずに漂白する「インターナルブリーチ」を提案しました。歯の内部に過酸化水素の薬剤を入れることで、神経が失活して黒くなった歯でも内側から白くすることができます。
今回の患者さんも2回の薬剤の交換(約2ヵ月)の治療で歯の色が完全に回復し、自然で美しい白さを取り戻すことができました。患者さんからも「こんなに白く戻ると思わなかった」と非常に満足していただけました。
封鎖処置
根管治療・漂白処置を経た後、上部の封鎖を行いました。
今回everX Flowという世界的にも先進のファイバー強化コンポジットレジンを用いて封鎖しました。
everX Flowの特長と採用理由
以下のような性質があり、この患者さんへの処置に非常に適した材料と判断しました。
| 特性 | 内容 | 患者さんへのメリット |
|---|---|---|
| 繊維強化構造 | 短繊維(ガラスファイバーなど)をレジンマトリックスに分散配向させた構造を持つ | 強度や靱性(しなやかさ・割れにくさ)が向上し、ひび割れ・破折を抑制できる |
| 象牙質に近い剛性・靱性 | 従来の流動性レジンよりも、象牙質に近い力学的特性を持つよう開発されている | 歯とレジンの物性差を小さくでき、応力集中を減らし、長期的な耐久性を高めやすい |
| 流動性(フロー性)と適応性 | フロー性を持ちつつ粘稠性があり、窩洞底部への適合性が高い | 隙間なく封鎖可能で、操作性も確保されやすい |
| 耐破折性・高ひずみ応力耐性 | 従来のレジンよりもひび割れの進展を抑える性能が報告されている | 神経を失った歯は割れやすくなる傾向があるため、このような補強効果が重要 |
| 補填材としての適用 | 深溝部分や補強下地層として用い、最表層は通常の審美レジンで被覆することが推奨される | 見た目も調整しやすく、強度と審美性のバランスをとれる構成が可能 |
本症例での選択理由
- 患者さんは若年で、これから先も長く使っていただくことを想定すると、歯の破折・割れリスクをできるだけ抑えたいと判断しました。
- 神経を失った歯は、構造的に弱くなったり、応力に対して壊れやすくなったりするリスクがあります。
- そのため、補填には通常のコンポジットレジンではなく、ファイバー強化タイプの高強度レジンを用いることで、将来的な耐久性を高めたいと考えました。
- 使用にあたっては、everX Flowのような材料を補強下地として用い、最終の審美レジンで被覆する構成としました。
治療前後の比較
治療の総括
今回の患者さんは、治療後の結果に非常に満足していただけました。神経を失った歯は一般的に「予後が悪い」「長持ちしにくい」と言われています。
しかし、当院では
- 精密根管治療による無菌的な処置
- ファイバー強化型コンポジットレジン(everX Flow)の使用
といった工夫により、歯本来の強度に近い状態で封鎖することができました。
これにより、長期的に安定して使える歯へと回復できたと考えています。また、漂白処置により色調も自然で美しく改善し、患者さんにも「思った以上に綺麗になった」と喜んでいただけました。若い方への適切な治療選択肢を提示できたと感じています。
もちろん最も大切なのは、そもそも歯の神経を失わないことです。今回のケースのように、矯正治療で歯が骨から逸脱すると神経が失活するリスクが高まります。当院では、CT撮影を行い、シミュレーションデータと重ね合わせて治療計画を立てることで、骨から逸脱しない安全な矯正治療を徹底しています。
▶︎詳しくは[マウスピース矯正のご案内>>]
| 年齢・性別 | 20代 女性 |
|---|---|
| 治療期間 | 2ヵ月 |
| 治療回数 | 5回 |
| 治療費 | 精密根管治療66,000円(税込) インターナルブリーチ33,000円(税込) ダイレクトボンディング33,000円(税込) 合計132,000円(税込) |
| リスク・注意点 | ・薬剤の影響でまれに歯が吸収したり、再び色が戻ることがあります。 ・必要に応じて経過を見ながら追加処置を行う場合があります。 |
歯の削る量を最小限に抑えたCR修復の症例
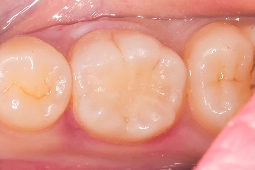
こちらの患者さまは、右下奥歯の虫歯を主訴に来院されました。
右下の奥歯に黒い部分が見受けられます。範囲は小さいため、出来るだけ削らないように先端の小さな器具を用いて丁寧に虫歯を除去していきます。
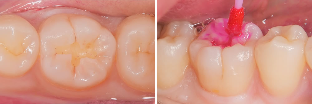
虫歯治療の除去
う蝕検知液を用いて丁寧に虫歯を取り除いていきます。
さらに奥にある虫歯は、より小さな器具を用いて削る範囲が大きくなりすぎないようにします。
酸処理
内部の虫歯を取り除いた状態です。接着力を上げるため酸処理を行いました。
接着処理
酸処理後には接着処理を行います。
CR充填
コンポジットレジンという樹脂の材料を用いて削った部分を埋めていきます。
形態を整えて歯の形にしていきます。
治療完了
形態修正と研磨を行い、治療が終わりました。
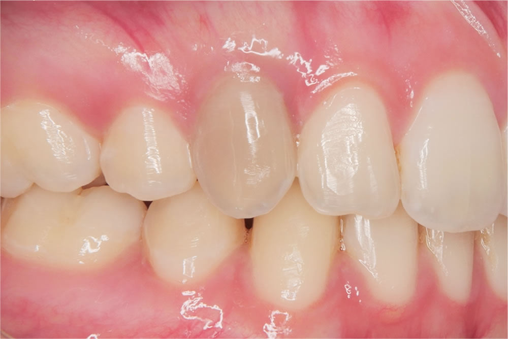
治療前後の比較
| 年齢・性別 | 10代 男性 |
|---|---|
| 治療期間 | 1日 |
| 治療回数 | 1回 |
| 治療費 | 保険の範囲内 |
| リスク・注意点 | ・経年的に樹脂の材料が変色する可能性があります。 ・より審美的で精度の高い方法もございます。お気軽にスタッフへお声掛けください。 |
西宮北口でなるべく歯を削らない歯科治療をご希望の方へ

西宮北口歯医者スター歯科では、患者さまの歯の寿命を少しでも延ばせるよう、拡大視野下での精密な処置や予防歯科の提案など、歯の切削量や切削範囲の軽減に努めております。西宮北口でなるべく歯を削らない歯科治療をご希望の方は、ぜひ当院までお気軽にご相談ください。

















