破折して変色した前歯を抜歯即時インプラントで治療した症例
破折して変色した前歯を抜歯即時インプラントで治療した症例
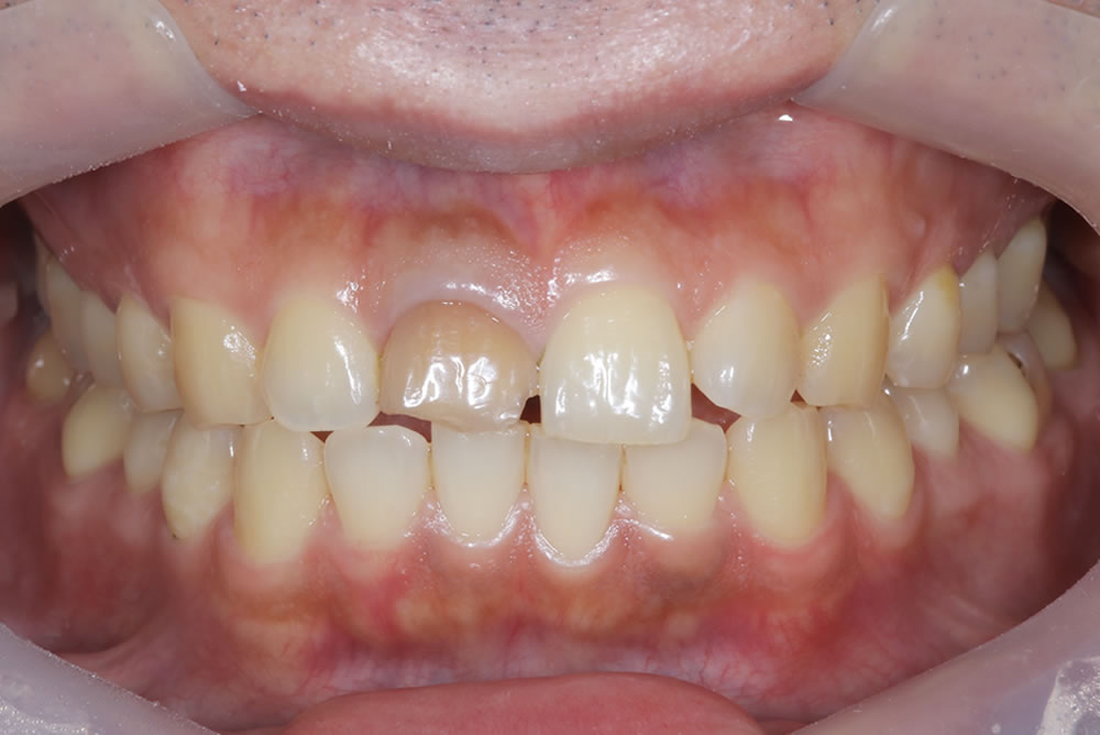
「前歯を失うかもしれない」――その不安から始まった治療
「前歯が折れてしまって、色も変わってきた」
「噛むと痛みもあって、人前で笑うのがつらいんです」
こちらの患者さまは、右上の前歯のトラブルをきっかけに、強い不安を抱えて来院されました。
前歯は見た目・発音・表情すべてに関わるとても大切な場所です。「ただ歯を入れる」だけでは、本当の意味での解決にはなりません。
私たちが目指したのは、「治したことが分からない自然さ」と「患者さまが心から笑える未来」でした。
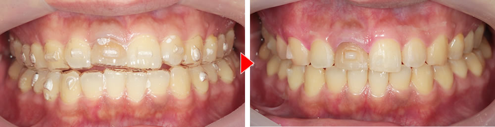
マウスピース矯正装置(インビザライン)による歯並びの改善
まずは「歯並び」を整えるところから始めました。いきなりインプラントを入れるのではなく、最初に行ったのはマウスピース矯正装置(インビザライン)による歯並びの改善です。
なぜなら、歯並びや噛み合わせが整っていない状態で前歯を作ってしまうと、
- 左右差が出る
- 不自然な形になる
- 将来的なトラブルにつながる
といったリスクがあるからです。
約半年間、マウスピース矯正装置(インビザライン)で全体のバランスを丁寧に整え、「前歯を美しく入れるための土台作り」を行いました。
前歯のインプラント治療の実施
次に行ったのが、前歯のインプラント治療です。この症例では、「ソケットシールドテクニック」という方法を選択しました。
これは、抜歯する歯の唇側の歯根をあえて残すことで、【歯ぐきの下がり】【骨の吸収】を最小限に抑えるテクニックです。
前歯は、歯ぐきのラインが1mm違うだけで「人工的」「不自然」に見えてしまう繊細な部位です。 だからこそ、見えない部分に一番こだわりました。それがこの治療の核心です。
インプラント埋入後はすぐに仮歯を装着し、「歯がない期間」を作らないよう配慮しました。
ソケットシールドテクニックとは
ソケットシールドテクニックとは、インプラント治療において抜歯後の骨や歯茎の形態を維持するために用いられる手法です。
このテクニックは、抜歯した歯の一部(特に唇側の歯根片)を意図的に残すことで、骨吸収や歯肉退縮を最小限に抑えることを目的としています。
【メリット】
- 骨吸収と歯肉退縮の軽減
従来の抜歯後に比べて、骨と歯肉の量が保持されやすい。 - 審美性の向上
前歯部など、審美性が重要な部位に効果的。 - インプラント治療の成功率の向上
骨と歯肉の維持が長期的な安定性をサポート。
【デメリット・注意点】
- 技術的難易度が高い
経験豊富な術者でないと、残す歯根の処理に失敗するリスクがある。 - 感染リスク
歯根片の管理が不適切だと、炎症や感染のリスクがある。 - 適応症例が限られる
歯根の状態や歯周病の有無によっては適用できないことがある。
手技の流れ
慎重な抜歯
歯根を割らずに、頬側部分のみを残すように抜歯。
歯根の調整
残す歯根片を滑らかに整え、周囲の骨に適合させる。
インプラント埋入
適切な位置にインプラントを配置し、残した歯根と調和させる。
補綴物の装着
インプラント上部構造を装着し、審美性を確保。
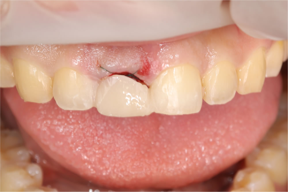
当該歯を部分的に抜歯(ソケットシールドテクニック)
ソケットシールドテクニックを用いて当該歯を部分的に抜歯しました。
上部構造(精密な仮歯)を作成・装着
歯茎の治癒を待ち、2ヵ月後に型取りしてインプラントの上部構造(精密な仮歯)を作成・装着しました。
精密な仮歯を使用して「完成形」をすり合わせます!
治療はここで終わりではありません。
インプラントに装着した精密な仮歯で経過を観察して
- 歯の長さ
- 形
- 隣の歯との調和
- 笑ったときの見え方
これらを何度も確認・微調整していきます。
この工程を丁寧に行うことで、最終的なかぶせ物の完成度は大きく変わります。
ホワイトニングで「口元全体」を仕上げる
前歯1本だけが綺麗でも、周囲の歯との色が合っていなければ違和感が残ります。
そこで、仮歯の期間中にホワイトニングを実施しました。口元全体のトーンを整え、「作った歯」ではなく「もともとこうだった」ような仕上がりを目指しました。
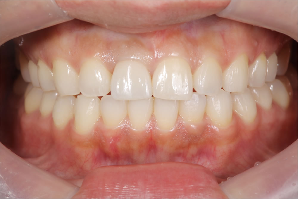
最終のインプラントの上部構造(ジルコニア)を装着
最終のインプラントの上部構造(ジルコニア)を装着し、咬み合わせを調整しました。
治療完了
| 年齢・性別 | 30代 女性 |
|---|---|
| 治療期間 | 6ヵ月 |
| 治療回数 | 10回(前歯インプラント) |
| 治療費 | 前歯インプラント / 517,000円(税込) 矯正 / 605,000円(税込) |
| リスク・注意点 | インプラント治療は高い成功率がある治療ですが、以下のような点についてご理解をお願いいたします。 ・手術後には、内出血や腫れが生じることがあります。また、まれに唇・舌・頬・歯ぐき・歯に軽いしびれや違和感が出ることがありますが、多くの場合は時間とともに回復します。 ・処方されたお薬によって、まれに吐き気やめまいなどの一時的な副作用を感じることがあります。体調に変化があれば、すぐにご相談ください。 ・かぶせ物や詰め物に強い力が加わると、破損や脱離が生じる場合があります。 |











